Передается ли мочекаменная болезнь по наследству?
Пишите, мы онлайн
Мочекаменная болезнь у кошек: симптомы и лечение МКБ
Чернов Александр Владимирович
Руководитель центра ветеринарной эндоскопии «Эндовет»®
Оглавление
- Что такое МКБ и почему это опасно
- Первые симптомы: как распознать
- СРОЧНО! Если кот не может пописать
- Причины мочекаменной болезни: порода, корм, кастрация
- Диагностика в клинике: какие анализы нужны
- Лечение: от капельниц до операции (уретростомия/цистоскопия)
- Лечебная диета и корма: сравнение брендов (Роял Канин, Хиллс, Пурина, Farmina)
- Профилактика в домашних условиях
- Ответы на частые вопросы (FAQ)
- Консультация уролога
06.02.2026
15 минут
5,0
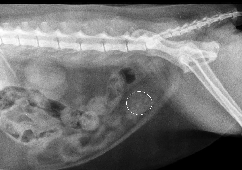
Мочекаменная болезнь (МКБ), или уролитиаз — это не просто «камни в почках», как многие думают. Это хроническое обменное заболевание, при котором в мочевыводящих путях вашего питомца — в почках, мочеточниках или, что самое частое и опасное, в мочевом пузыре и уретре — образуется «песок» (мелкая взвесь) или настоящие камни (уролиты). Представьте себе, как в перенасыщенном растворе выпадают кристаллы соли. Примерно то же происходит в моче кошки при нарушении обмена веществ. Эти твердые образования травмируют нежную слизистую оболочку, вызывая боль и воспаление, а главное — могут привести к закупорке (обструкции) уретры, что является угрожающим жизни состоянием, требующим экстренной операции.
Почему это особенно опасно для котов?
У котов уретра (трубка, выводящая мочу из мочевого пузыря) очень длинная, узкая и имеет характерный S-образный изгиб. Именно здесь чаще всего происходит закупорка песком или слизистой пробкой. У кошек уретра шире и короче, поэтому у них мочекаменная болезнь чаще протекает в форме цистита (воспаления) без обструкции, но это не значит, что болезнь менее серьезна.
Что видит уретральный катетер проходя через уретру кота с мочекаменной болезнью?
Струвиты и оксалаты
Не все камни одинаковы. У кошек чаще всего встречаются два основных типа, и от этого кардинально зависит стратегия лечения и диеты
Струвиты (трипельфосфаты)
Составляют около 50-60% случаев. Чаще образуются в щелочной моче. Имеют тенденцию образовываться относительно быстро, иногда в виде песка или мелких камней, которые могут растворяться при помощи специальной лечебной диеты, подкисляющей мочу. Чаще встречаются у кошек молодого и среднего возраста
Оксалаты кальция
На их долю приходится 30-40% случаев. Образуются в кислой моче. Эти камни очень твердые, растут медленно, и их невозможно растворить диетой. Основной метод лечения — хирургическое удаление. Более характерны для кошек старшего возраста, персов, гималайцев
Как образуются камни при мочекаменной болезни
Симптомы мочекаменной болезни у кошек: от первых «звоночков» до критического состояния
Мочекаменная болезнь может месяцами развиваться почти незаметно. Первые симптомы часто списывают на капризы или временное недомогание. Ваша наблюдательность — главный инструмент ранней диагностики. Запомните эту градацию признаков. Если вы видите хотя бы один из пунктов из раздела «Очевидные симптомы» — это уже повод для срочного визита к ветеринару
Ранние признаки
Эти симптомы говорят о дискомфорте и начальной стадии воспаления. Кошка уже испытывает неприятные ощущения, но боль еще не острая.
- Повышенное внимание к лотку: Кошка заходит в лоток чаще обычного, может подолгу сидеть или крутиться, «копать» без результата.
- Частое вылизывание под хвостом (области уретры). Это реакция на зуд, раздражение или легкую боль.
- Небольшое увеличение частоты мочеиспускания. Порции мочи могут быть стандартными или чуть меньше.
- Легкая вокализация в лотке: короткое «мяу» в начале или конце процесса.
- Легкая апатия или беспокойство, снижение активности.
КРИТИЧЕСКИЕ ПРИЗНАКИ
Это признаки полной обструкции (закупорки) уретры. Моча не выходит вообще, что приводит к отравлению организма и разрыву мочевого пузыря.
- Кот не может пописать: Ходит в лоток, тужится, но нет ни капли мочи. Животное может сидеть в лотке подолгу без результата.
- Болезненный, твердый, увеличенный живот при пальпации (мочевой пузырь переполнен).
- Апатия, отказ от еды и воды, угнетенное состояние.
- Рвота у кошки при мкб — признак нарастающей интоксикации (отравления продуктами распада).
- Судороги, переохлаждение (холодные лапы и уши), потеря сознания. Это терминальная стадия, счет идет на минуты.
ВНИМАНИЕ! У котов симптомы часто развиваются стремительно, минуя «ранние» стадии. Если вы видите хотя бы один признак из раздела «Очевидные симптомы» — не ждите ухудшения. Позвоните в клинику немедленно. Если у вашего кота есть любой из критических признаков — это абсолютное показание для немедленной госпитализации.
Первая помощь кошке при подозрении на мочекаменную болезнь
Если вы наблюдаете у кошки симптомы из предыдущего раздела, особенно частые безрезультатные походы в лоток или полное отсутствие мочеиспускания, — время работает против вас. Каждая минута промедления увеличивает риск разрыва мочевого пузыря и острой почечной недостаточности. Ваша задача — не лечить, а безопасно доставить животное в клинику. Запомните этот алгоритм.
ПРАВИЛЬНЫЙ АЛГОРИТМ ПЕРВОЙ ПОМОЩИ:
ОЦЕНИТЕ СРОЧНОСТЬ
Может ли кошка хоть немного мочиться? Даже несколько капель — это лучше, чем ничего. Если моча не отходит совсем более 12 часов (или с момента последнего мочеиспускания вы не уверены) — это КОД КРАСНЫЙ, экстренная ситуация
НЕМЕДЛЕННО СВЯЖИТЕСЬ С КЛИНИКОЙ
Позвоните по пути. Сообщите: «Кошка не мочится более N часов, есть рвота (если есть)». Это позволит врачам подготовиться к приему
ОБЕСПЕЧЬТЕ БЕЗОПАСНУЮ ТРАНСПОРТИРОВКУ
- Аккуратно поместите кошку в переноску. Не давите на живот.
- Подстелите впитывающую пеленку — может произойти непроизвольное болезненное мочеиспускание.
- Не кормите и не поите насильно! Это может спровоцировать рвоту.
- Сохраняйте спокойствие. Ваша паника передается питомцу.
ГРУБЕЙШИЕ ОШИБКИ
НЕ ПЫТАЙТЕСЬ «ПОМОЧЬ» МОЧЕГОННЫМИ ИЛИ ЛЕКАРСТВАМИ «ИЗ АПТЕЧКИ»
Любые диуретики (в т.ч. растительные) увеличат давление в мочевом пузыре и приведут к его разрыву. Человеческие спазмолитики (но-шпа) малоэффективны и могут вызвать отравление
НЕ ГРЕЙТЕ ЖИВОТ
Грелка или теплый компресс вызовут резкий приток крови, усилят отек и ускорят развитие сепсиса (заражения крови) при уже имеющейся инфекции
НЕ МАССИРУЙТЕ ЖИВОТ
Вы можете сместить камень и вызвать острую закупорку, если ее еще не было, или повредить переполненный мочевой пузырь
НЕ ЖДИТЕ «А ВДРУГ ПРОЙДЕТ»
Обструкция уретры не проходит сама. Без врачебной помощи животное погибнет в течение 24-72 часов от отравления продуктами азотистого обмена (уремии)
Акция «Узнать мнение врача» бесплатно
Нужно получить мнение опытного специалиста по поводу диагноза, результатов обследования или предстоящего лечения?
Необходимо всего лишь оставить заявку на сайте или позвонить в наш контакт-центр
или напишите,
мы онлайн
мы онлайн
Почему развивается мочекаменная болезнь? Основные причины и группы риска
- Дешевые корма эконом-класса: Высокое содержание солей (зола), низкое качество белка, обилие углеводов создают идеальную среду для кристаллов.
- Смешанный рацион (корм + натуралка): Категорически нарушает сбалансированный минеральный состав, данными производителями.
- Недостаток воды — ключевая проблема! Сухой корм без свободного доступа к воде концентрирует мочу. Кошки от природы мало пьют.
- Малоподвижность: Ожирение, лень → замедление метаболизма.
- Недостаток чистой воды: Миска в шумном месте, грязная вода, отсутствие питьевых фонтанчиков (кошки предпочитают проточную воду).
- Редкое мочеиспускание: Грязный лоток, стресс → кошка терпит, моча застаивается и концентрируется.
Переезд, новый питомец, ремонт, конфликты в доме могут запустить воспаление мочевого пузыря (цистит), которое провоцирует образование слизистых пробок и кристаллов. Часто идет в связке с МКБ
Мкб у кастрированных котов — миф? Не совсем. Кастрация не вызывает МКБ напрямую, но может способствовать набору веса и снижению активности. Главный фактор — анатомия! У котов уретра узкая и длинная, поэтому они чаще страдают от опасной обструкции. Кошки болеют не реже, но у них МКБ чаще протекает как хронический цистит.
Точная диагностика и инновационное лечение мочекаменной болезни
Цистоскопия + дробление камней (литотрипсия): почему мы совмещаем диагностику и лечение за один визит
Стандартный сценарий при обнаружении камней в мочевом пузыре кошки — это диагноз «по УЗИ», затем тяжелая полостная операция (цистотомия) с разрезами, швами и долгим восстановлением. А если камень не один? А если это не камень, а опухоль? Мы уходим от этой лотереи
Это процедура введения тончайшего гибкого эндоскопа с HD-камерой в мочевой пузырь через уретру
Что она дает врачу (и вам):
Это золотой стандарт диагностики, после которого все сомнения исчезают
Что она дает врачу (и вам):
- Точный диагноз. Не «камень похож на оксалат», а «это струвитный камень размером 4 мм с рыхлой структурой». Или «это не камень, а полип».
- Оценку состояния слизистой. Врач видит степень воспаления, кровотечения, предраковые изменения.
- Возможность биопсии. При необходимости можно сразу взять образец ткани для анализа.
Это золотой стандарт диагностики, после которого все сомнения исчезают
Лазерная литотрипсия
Как только диагноз «камень, требующий удаления» подтвержден, врач не достаёт эндоскоп. Он меняет насадку и проводит через рабочий канал того же прибора датчик литотриптора.
- Как это работает: Под прямым визуальным контролем зонд прибора точечно воздействует на камень, дробя его до состояния мелкого песка («пыли»), который затем вымывается или выводится естественным путем.
- Ключевое преимущество: Лечение мочекаменной болезни проводится сразу, в ходе той же самой процедуры, под той же анестезией. Не нужно дважды готовить животное к наркозу, дважды везти в клинику.
Сравним? Цистостомия vs Цистоскопия + литотрипсия при МКБ у кошек и котов
Сравним?
Цистостомия vs Цистоскопия + литотрипсия при МКБ у кошек и котов
Цена лечения мочекаменной болезни
Стоимость всегда зависит от сложности заболевания. Так, исследование с постановкой точного диагноза стоит 3000 ₽, а самая сложная операция в запущенном случае стоит 100 000 ₽.
Ответьте на несколько вопросов для расчёта стоимости
Диета и корма при мочекаменной болезни
Цистоскопия и литотрипсия эффективно устраняют последствия мочекаменной болезни — камни. Но чтобы предотвратить их повторное образование, необходимо воздействовать на причину — нарушенный обмен веществ. Правильно подобранная диета — это не дополнительная рекомендация, а обязательная часть лечения, равная по важности самой операции. Без неё риск рецидива достигает 60% в течение года
- Цель: Обеспечить щадящий режим работы мочевыделительной системы, поддерживать кислотность мочи, заданную лечением.
- Что назначаем: Исключительно лечебные корма супер-премиум класса. Наши врачи обычно рекомендуют стартовый курс (1-3 месяца) на одном из следующих рационов, в зависимости от типа удаленных камней:
- После струвитов:
Hill's Prescription Diet c/dилиRoyal Canin Urinary S/O. Они подкисляют мочу и растворяют остаточный песок. - После оксалатов:
Hill's c/d OxalateилиRoyal Canin Urinary S/O Oxalate. Не растворяют, но предотвращают рост новых кристаллов. - Важно: Лечебный корм дается строго по назначению врача и не смешивается с другими продуктами. Переход с обычного корма — постепенный, в течение 5-7 дней.
- После струвитов:
Сбалансировать натуральный рацион (мясо, субпродукты, добавки) при МКБ крайне сложно. Неправильное соотношение кальция, фосфора и магния спровоцирует рецидив.
- Наша позиция: Мы не рекомендуем натуральное питание при МКБ, если вы не готовы сотрудничать с ветеринарным диетологом, который составит точный расчёт рациона на основе анализов вашего кота. Это дорого и требует дисциплины.
- Если настаиваете: Основу должны составлять нежирные сорта мяса (кролик, индейка), обязательно добавки, ощелачивающие или подкисляющие мочу (по назначению!), и постоянный контроль анализа мочи раз в 3-4 месяца
Лечебные корма — это диетическое лечебное питание, а не просто «хороший корм». Их состав сбалансирован для конкретной задачи.
Корм для кошек при оксалатах принципиально другой! Он не подкисляет, а, наоборот, контролирует уровень кальция и оксалатов. Самые популярные — Hill's c/d Oxalate и Royal Canin Urinary S/O Oxalate.
- Кошки, питающиеся сухим кормом, должны выпивать воды в 2-3 раза больше съеденного корма. Часто они этого не делают.
- Наши рекомендации:
- Питьевой фонтанчик — обязательно! Кошки инстинктивно prefer текущую воду.
- Влажный корм (паучи, рагу) в рацион. Лечебные корма также существуют во влажной форме. Сочетание «сухой + влажный» — идеально.
- Несколько мисок с водой в разных местах (тихих, спокойных).
- Ароматизация воды: Можно добавить в воду немного сока от консервированного тунца (в собственном соку, без соли!)
- Питьевой фонтанчик — обязательно! Кошки инстинктивно prefer текущую воду.
Мочекаменная болезнь встречается у кошек и котов. При несвоевременном лечении мочекаменная болезнь часто приводит к летальному исходу. Если не начать лечение, то из-за обструкции уретры в течение 72 часов животное погибнет от фатальных для жизни питомца осложнений (кровотечение, инфекция и т.п) и перитонита.
Александр Владимирович Чернов ведущий эксперт-практик, педагог и идеолог развития ветеринарной эндоскопии в России
Профилактика мочекаменной болезни
Лечение мочекаменной болезни — это марафон, а не спринт. Даже после успешной литотрипсии и перехода на лечебный корм, расслабляться нельзя. Профилактика — это не разовые действия, а новый образ жизни для вашего питомца. Внедрите эти правила, и вы сведете риск рецидива к статистическому минимуму
ВОДА
Заставить кошку пить больше — реально
Без этого все остальные меры теряют 80% эффективности.
- Инвестируйте в питьевой фонтанчик. Кошки пьют из него в 2-3 раза чаще. Выбирайте керамические или стальные модели с тихим мотором.
- Расставьте миски с водой в «стратегических» точках: не рядом с едой и лотком, а в тихих углах, на пути маршрутов кошки.
- Добавляйте воду в еду. Если кошка ест влажный корм, подмешивайте в него теплую воду до состояния супа. К сухому корму также можно добавлять немного воды за 10 минут до подачи.
- Контролируйте диурез. В норме кошка должна ходить в лоток 2-3 раза в день. Если 1 раз или 5 — это повод задуматься.
ПИТАНИЕ
Осознанный выбор на каждом этапе жизни
- После лечебного курса (3-6 месяцев) обсудите с ветеринаром переход на качественный профилактический корм супер-премиум или холистик класса с пометкой «urinary care» или «поддержка мочевыделительной системы». Примеры: Royal Canin Urinary Care, Hill's Science Plan Urinary, Monge Urinary.
- Никаких «вкусняшек» со стола! Колбаса, сыр, соленая рыба, дешевые лакомства — яд для кошки с предрасположенностью к мочекаменной болезни.
- Кормите по норме, не допускайте ожирения. Лишний вес — нагрузка на все системы, включая мочевыделительную.
ОБРАЗ ЖИЗНИ И КОНТРОЛЬ
- Активность. Ежедневные игры по 10-15 минут — это профилактика стресса и ожирения.
- Чистота лотка. Грязный лоток = кот терпит = концентрированная моча = риск кристаллов. Убирайте 1-2 раза в день.
- Управление стрессом (особенно для кошек!). Используйте феромоны (Feliway), обеспечивайте укрытия, вертикальные пространства. Стресс — частая причина идиопатического цистита.
- Диспансеризация — раз в год обязательно. Даже для здорового кота: общий анализ мочи и УЗИ мочевого пузыря. Это «техосмотр», который выявляет проблему на стадии песка, до появления камней и симптомов.
Истории пациентов
Часто задаваемые
Сколько живут кошки (коты) с мочекаменной болезнью?
Может ли кошка или кот умереть от МКБ?
Чем кормить кота после во время эндоскопического лечения МКБ?
Как давать таблетки кошке при мочекаменной болезни?
Правда ли, что от сухого корма бывает мочекаменная болезнь?
На сколько безопасен наркоз?
Мы из другого города, сколько раз необходимо будет приезжать в клинику?
Есть ли рядом с клиникой гостиница?
Остались вопросы?
Оставьте свои контакты, наш специалист перезвонит через 10 минут
Источники
- Заболевания нижних мочевых путей кошек. Консенсусные рекомендации Международного общества фелинальной медицины (ISFM) / пер. с англ. под ред. А.В. Чернова. – М., 2023.
- Диагностика, лечение и профилактика уролитов у собак и кошек. Консенсусное заявление Американского колледжа ветеринарной внутренней медицины (ACVIM) / под ред. J. Bartges, C.A. Osborne [и др.] // Journal of Veterinary Internal Medicine. – 2016. – Vol. 30(5). – P. 1564-1574
- Болезни почек и мочевыводящих путей мелких домашних животных. Практическое руководство / под ред. Дж. Бартжеса, Д. Ползина. – 2-е изд., перераб. и доп. – М.: Аквариум-Принт, 2020. – Глава 4. «Мочекаменная болезнь (уролитиаз)». – С. 89-124.
- Forrester S.D., Towell T.L. Feline lower urinary tract disease. // Journal of Feline Medicine and Surgery. – 2015. – Vol. 17(1). – P. 11-26. (Специальный выпуск, посвященный доказательной медицине).
- Ветеринарная эндоурология: принципы и практика. Клинический протокол Ветеринарной информационной сети (VIN) / сост. A. Berent, J. Weisse [и др.]; под общ. ред. А.В. Чернова. – М., 2023.
руках
Ваш питомец будет в
руках
Наш центр имеет все необходимые ветеринарные лицензии (на фармацевтическую деятельность, рентген, профессиональный медицинский наркоз). Оказывает круглосуточную ветеринарную помощь (включая стационар) в соответствии с законодательством РФ
Комментарии к статье
Катерина
06.02.2026
Сижу, плачу у моего кота второй день эти симптомы, я уже с ума схожу
Чернов Александр Владимирович
06.02.2026
Добрый день, Катерина! Срочно везите кота к врачу
Пользователь
06.02.2026
Объездил три клиники, везде одно: «камни, надо резать». Никто даже не заикнулся про эндоскопию и анализ типа камней.